Emergency Dentist Leominster

Smile Gallery

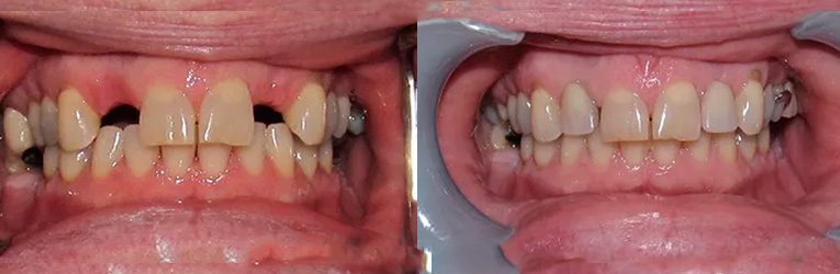
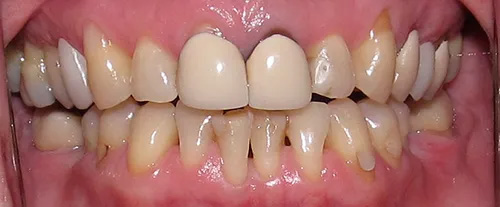
Front Four Broken Teeth
Leominster Cosmetic Dentist

Before

Emergency Dentist Leominster

After

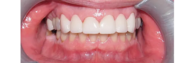
Front 7 Crowns
Dental Office in Leominster

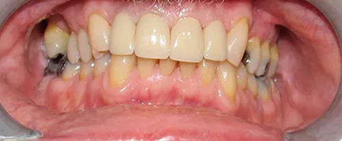
Before

Dental Office in Leominster

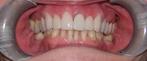
After

Bridges
Dentist 01453

Before

Dentist in Leominster

After

Schedule a visit today!
Contact Us
Submit

Thank You!

We appreciate you taking the time to visit our site. We'll review your message and be in touch with you soon.

Continue
Dentist in Leominster