
At Appleseed Dental, we want every patient to enjoy the benefits of a smile that is as beautiful as it is healthy. In addition to offering a comprehensive range of advanced services to keep your smile in tip-top health, we also offer leading edge cosmetic solutions to transform less-than-perfect looking teeth into ones that dazzle.
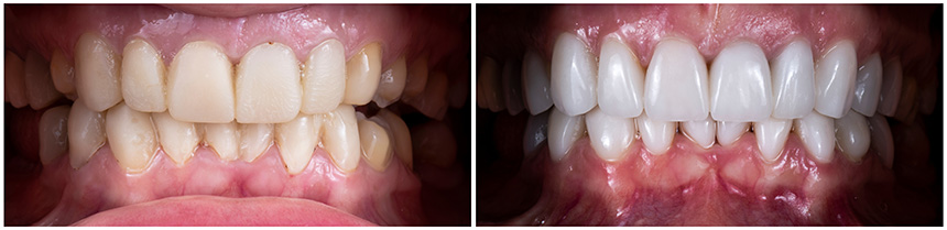
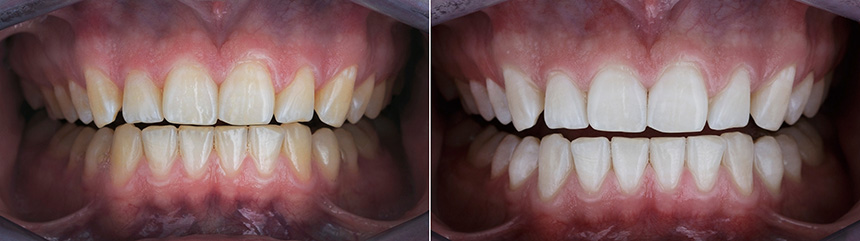
If your teeth are stained, discolored or yellowed, you may benefit from a Zoom! teeth whitening procedure. As a leading choice in care, Philips Zoom whitening systems represent the safest and most effective way to lighten and brighten your smile! With a Zoom in-office whitening procedure in as little as a single visit—typically clocking in at under an hour—Zoom's innovative light-activated whitening system is able to whiten teeth a full eight shades brighter. The entire procedure, from start to finish, requires little beyond sitting comfortably back in the dental chair and is virtually absent of any risks or side effects.
If you’ve tried other teeth whitening products in the past but still feel your teeth are not as vibrant as you’d like them to be, a ZOOM! teeth whitening procedure provides a stronger concentration of whitening components to safely brighten your smile with the most dramatic and satisfying results of care.Â
As the number one patient-requested teeth whitening brand, Zoom provides patients with a range of whitening options that also includes highly effective home whitening systems.
At Appleseed Dental, we offer leading-edge cosmetic solutions to enhance the look of your smile. To hear more about a Philips Zoom! teeth whitening procedure and the many other services we provide, give us a call today.


